Column Treatment Case Report No. 7| ILC International Lumbago Clinic (Nagoya Clinic)
October 23, 2025
The patient
A female patient in her 60s.
The patient’s pre-treatment medical history
The patient experienced low back pain and leg pain once about 5 to 6 years ago. Although there was no specific trigger, her symptoms worsened in April 2025, leaving her unable to move and making it difficult to even lie down. Her symptoms are predominantly in the right lower limb and worsen when walking.
Pre-treatment symptoms
・Pain levels before treatment
| Lower back | Lower limbs | Numbness | Buttocks | |
|---|---|---|---|---|
| Pain level | 6 | 7 | 6 | 7 |
No pain at all is rated as 0, and the maximum possible pain is rated as 10.

Main areas of pain and numbness: lower back, right leg, right toe.
Bending forward: no aggravation
Bending backward: increased pain in the lower back on the right side
Lasegue test: negative
Point of tenderness: L4/5 (both sides), L5/S (right side)
Intermittent claudication: positive
Additional explanations on our clinic’s medical examination
・Daily activities
Works twice a week, sitting and packing items weighing 2–3 kg.
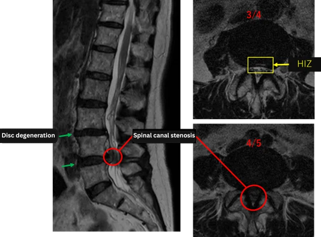
Imaging and findings

L1/2: Normal
L2/3: Normal
L3/4: Disc degeneration, bulging, high-intensity zone (HIZ)
L4/5: Disc degeneration, bulging, bilateral foraminal stenosis, spinal canal stenosis
L5/S: Normal
The above findings were also observed on the imaging.
These findings suggest that disc degeneration, foraminal stenosis, and spinal canal stenosis at L3/4 and L4/5 are likely the main causes of her symptoms.
Treatment
After consulting with the patient, the Cellgel Method was performed on L3/4 and 4/5.
The treatment was performed by Dr. Ban.

This is an image of the patient’s back after the Discogel injection.
The treatment took about 30 minutes.
After resting in the recovery room, the patient was able to walk home unaided.
Our clinic’s treatment method
Additional information about the Cellgel method we have introduced in this column.
Cost of the Cellgel method: 1,320,000 yen per area (including tax) to 1,760,000 yen per 5 areas (including tax)
Risks and side effects of the Cellgel method: Transient pain may occur after treatment. Nerve damage is not a zero possibility due to the very nature of the treatment, but there have been no reports of damage so far in either report cases or publications. There is a very small possibility of allergic reactions to local anesthetics. Symptoms may temporarily worsen during the first week or two after treatment. This is believed to be due to the decompression effect of the implant, which retracts the surrounding tissues. In addition, if the disc is almost completely collapsed, treatment may be difficult. The doctor hold a consultation with you during your visit to the clinic to determine the best treatment option for your condition.
For more detailed information, please refer to the following links:
Blog page explaining the Cellgel Method in an easy-to-understand manner
The Cellgel Method on our treatment methods page
This article was written by the Administrative Director of our clinic